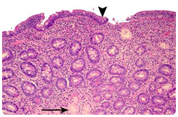
La enfermedad celiaca (CD, por sus siglas en inglés), una condición inflamatoria crónica común y heredable del intestino delgado, causada por la intolerancia permanente al gluten/gliadina (prolamina), está caracterizada por un complejo interjuego entre factores genéticos y ambientales. Las fracciones de prolamina en los granos de cereal (gliadina en trigo y proteínas similares solubles en alcohol en otros cereales, secalina en centeno, hordeína en cebada) son los estímulos ambientales responsables del desarrollo del daño intestinal asociado con CD. Continuar leyendo Enfermedad celiaca, inflamación y daño oxidativo
Etiqueta: Nutrigenética
Interacción entre los genomas de alimentos, microbios intestinales y humanos
Alimentos y bebidas son la materia física que administramos a nuestro cuerpo, además del aire inhalado, drogas y medicamentos. La nutrición representa así uno de los impactos ambientales más fuertes a largo plazo sobre la salud humana. La investigación nutriológica contemporánea se enfoca en la promoción de la salud, previniendo o retrasando el surgimiento de la enfermedad, optimizando el desempeño y valorando los beneficios y riesgos. Estas direcciones requieren de estrategias completas, debido a que los componentes alimentarios interactúan con nuestro cuerpo, no solamente a nivel de sistema, sino también a niveles de órganos, células y moléculas, y a que la mejora nutricional de un aspecto de la salud debe estar acompañado por la conservación de la salud en todos los demás aspectos. Continuar leyendo Interacción entre los genomas de alimentos, microbios intestinales y humanos
El reto de ligar el genotipo con la nutrición saludable
Por más de 2 décadas, la carga de salud pública de las enfermedades dependientes de la dieta, resultantes de dietas inadecuadas, exceso en la ingestión de energía y estilos de vida sedentarios, ha sido el principal motivador de la investigación nutriológica.Los rápidos desarrollos en las ciencias de la vida, especialmente la genética, han creado oportunidades significativas para la nutriología; sin embargo, la habilidad para explotar completamente éstos, particularmente en ausencia de fondos suficientes, ha sido difícil. Continuar leyendo El reto de ligar el genotipo con la nutrición saludable
Metas y estrategias de la nutrigenómica (III)
En esta última parte se introducen los polimorfismos de un nucleótido y otros cambios en el genoma significativos a la nutriología, las expectativas y dificultades de la dieta basada en el genotipo y finalmente las implicaciones de la nutrigenómica en la epidemiología, la atención médica primaria y la industria alimentaria. Continuar leyendo Metas y estrategias de la nutrigenómica (III)
Metas y estrategias de la nutrigenómica (II)
En esta segunda parte se presenta una introducción al mecanismo de expresión del gen, particularmente los factores de transcripción, así como algunas tecnologías de biología molecular empleadas para la investigación en nutrigenómica. La agenda de la nutrigenómica puede ser vista como análoga de aquella de la farmacogenómica. Sin embargo, una importante diferencia es que la farmacogenómica estudia los efectos de los medicamentos y drogas que son componentes puros, administrados en dosis precisas (generalmente pequeñas), mientras que la nutrigenómica debe abarcar la complejidad y variabilidad de la nutrición. Continuar leyendo Metas y estrategias de la nutrigenómica (II)
Metas y estrategias de la nutrigenómica (I)
La nutrición es el impacto ambiental más importante en el estado de salud humana a lo largo de la vida. Esta es la primera de 3 partes, que presenta una breve semblanza del concepto de nutrigenómica, las estrategias y metas generales que persigue. En los últimos 15 años la investigación en nutrición ha experimentado un importante cambio en su enfoque, de la epidemiología y la fisiología a la biología molecular y la genética. Esto es principalmente el resultado de 3 factores que dejan claro que los efectos de la nutrición en la salud y la enfermedad no pueden ser entendidos sin un profundo entendimiento de cómo los nutrimentos actúan a nivel molecular. Continuar leyendo Metas y estrategias de la nutrigenómica (I)
Presente y futuro de la proteómica en la nutrigenómica y la nutrigenética
El alimento es la única materia física que ingresamos a nuestro cuerpo, además del aire que inhalamos. Es por tanto lógico y natural que la nutrición ejerza el impacto ambiental a largo plazo más fuerte en la salud humana y esta relación entre nutrición y salud se ha conocido por siglos. Hipócrates, médico griego del siglo IV AC recomendaba utilizar el alimento como medicina y viceversa, mientras que Sun SI-Miao, famoso médico de la Dinastía Tang en el siglo VII DC establecía que “cuando una persona está enferma, el doctor debe primero regular la dieta y estilo de vida del paciente”. Continuar leyendo Presente y futuro de la proteómica en la nutrigenómica y la nutrigenética
Introducción a la nutrición molecular
La investigación nutriológica clásica se concentra en la epidemiología y la fisiología. Biofluidos como suero y orina son estudiados en varios metabolitos seleccionados como indicadores de nutrición y salud balanceadas, al tiempo que se calculan las concentraciones de recomendación para la población en general (o “promedio”). De alguna forma la investigación nutriológica es análoga a aquella en farmacología. En esta se encontró que los antecedentes genéticos individuales con frecuencia tienen un tremendo efecto en la efectividad de un medicamento, lo que rápidamente evolucionó en el campo de la farmacogenómica. Continuar leyendo Introducción a la nutrición molecular



