La enfermedad hepática alcohólica (ALD, por sus siglas en inglés) describe un espectro de condiciones que van desde el hígado graso reversible hasta la hepatitis alcohólica (AH, por sus siglas en inglés), cirrosis y carcinoma hepatocelular (HCC, por sus siglas en inglés). AH es un síndrome clínico distintivo, causado por el abuso crónico del alcohol y acarrea una prognosis particularmente pobre con una mortalidad a 28 días entre 30% y 50%. Aunque AH es una condición aguda, cerca de la mitad de los pacientes con AH tienen cirrosis establecida al omento de la presentación clínica.
AH típicamente ocurre en un individuo con una historia larga de ingestión de alcohol, aunque la abstinencia por varias semanas previas a la admisión no es poco común. Sin embargo, la presentación clínica después de la abstinencia de más de 3 meses eleva sospechas de cirrosis alcohólica o enfermedad hepática alcohólica avanzada subyacente.
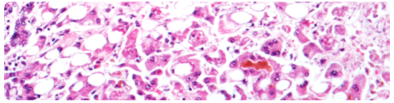
Varias citocinas proinflamatorias se han detectado en pacientes de AH. En los casos no complicados, la histología de AH está caracterizada por infiltración neutrofílica (marcador de hepatitis inducida por alcohol), degeneración ‘en balón’ de hepatocitos, necrosis manchada y fibrosis en el espacio perivenular y perisinusoidal de Disse, así como inclusión hialina de Mallory.
Epidemiología
Cantidad ingerida de alcohol
La cantidad del consumo de alcohol que coloca a un individuo en riesgo de desarrollar AH se desconoce. Sin embargo, en la práctica, la mayoría de los pacientes con AH beben más de 100 g/día (lo que corresponde a 6-7 tragos/día, en donde un trago contiene 13-15 g de alcohol), siendo común 150 a 200 g por día. El paciente típico ha consumido alcohol fuertemente por dos o más décadas, aunque en un paciente ocasiones el abuso de alcohol puede ser por menos de 10 años. No obstante, los médicos deben considerar a cualquier persona que beba más de 30-50 g/día por más de 5.10 años en riesgo de desarrollar ALD.
Los estimados de la cantidad de alcohol consumido no pueden ser precisos debido a que se basan en entrevistas al paciente y/o familiares. La historia del paciente revela el tipo de ingestión de alcohol y la cantidad consumida en volumen o número de tragos. Un trago es típicamente definido como 12 onzas (355 ml, 4%-5% peso/volumen) de cerveza, 5 onzas (125 ml, 10%-12% p/v) de vino o 1.5 onzas (45 ml, 40%-50% p/v) de licores.
Los patrones de ingestión de alcohol alrededor del mundo están en constante evolución y tienen gran influencia en la prevalencia e incidencia de ALD. En un estudio que reportó datos para el consumo per capita de alcohol en adultos en el año 2000, los licores dominaron el tipo de alcohol consumido en la mayoría de las regiones del mundo; la mayor cantidad de alcohol por adulto se reportó en Europa, especialmente en Rusia y países vecinos, y la menor fue en la mayoría de las regiones islámicas del Mediterráneo oriental y en la región menos desarrollada del sureste de Asia, predominantemente India. El cambio anual per capita en el consumo de alcohol en varios países tiene una correlación directa con las tasas de mortalidad por cirrosis; un estudio en Canadá confirmó que el consumo de alcohol per capita está estrechamente relacionado con las tasas de mortalidad tanto en hombres como en mujeres. En otro análisis de 22 países europeos, se demostró la relación entre un incremento en la enfermedad hepática y el incremento de alcohol per capita.
Las encuestas basadas en población indican que 68% de los estadounidenses adultos beben al menos una bebida alcohólica al mes. Tradicionalmente, el beber es considerado dañino si el uso del alcohol impacto el funcionamiento diario y/o la vida social del individuo, como la pérdida de empleo, accidentes, pérdida de miembros familiares o la muerte. Cerca del 10% de la población consumo más de 2 tragos por día, lo cual es una definición comúnmente empleada para “beber fuertemente”. Sin embargo, existen substanciales diferencias en la prevalencia del beber fuertemente entre los subgrupos poblacionales. Por ejemplo, 18% de los hombres, pero solamente el 3% de las mujeres son clasificados como fuertes bebedores. Adicionalmente, el beber fuertemente se reporta más comúnmente en caucásicos que en negros o hispanos (sin embargo, ver más adelante los datos registrados en cuanto a raza y etnicidad). El consumo fuerte de alcohol es generalmente más común en personas con bajo nivel educativo y menores ingresos, los desempleados y en aquellos con ocupaciones que son caracterizadas por enajenación laboral, estrés en el trabajo y poca satisfacción con el empleo.
Factores ambientales y del anfitrión
Se ha observado una relación dosis-dependiente entre la ingestión de alcohol auto-reportada y el riesgo de desarrollar ALD. Aunque los médicos deben considerar a cualquiera que beba una cantidad igual o mayor a 30-50 G/día por más de 5 a 10 años en riesgo de desarrollar ALD, la enfermedad no se desarrollar en todos con esta cantidad consumida de alcohol. Aunque entre el 90% y el 100% de los fuertes bebedores tienen esteatosis, del 10% al 35% tienen AH, y del 8% al 20% tienen cirrosis alcohólica. La prevalencia puntual de cirrosis es de 1% en personas que beben 30-60 g/día de alcohol y hasta 5.7% en aquellos que consumen 120 g/día. Claramente, otros factores relacionados al ambiente o al anfitrión (individuo) predisponen a una persona al desarrollo de la enfermedad hepática. Estos factores se indican a continuación:
Edad
La edad típica al momento de presentarse AH es entre los 40 y los 50 años, ocurriendo la mayoría antes de los 60 años de edad.
Género
El riesgo de desarrollar enfermedad hepática inducida por alcohol se incrementa significativamente de 7 a 13 bebidas por semana para mujeres y de 14 a 27 bebidas por semanas para hombres; el riesgo relativo se incrementa más marcadamente para mujeres que para hombres con el incremento en la ingestión de alcohol. Esta diferencia de género se debe a varios factores tales como diferencias en los niveles gástricos de alcohol deshidrogenasa (ADH) y a una mayor proporción de grasa corporal en mujeres. Aunque las mujeres están en un riesgo incrementado de desarrollar enfermedad hepática con el consumo de alcohol, la mayoría de los pacientes con AH son hombres porque los hombres tienen el doble de probabilidades de abusar del alcohol que las mujeres.
Raza y etnicidad
Las tasas de desarrollo de cirrosis y mortalidad son más altas en los negros e hispanos que en los caucásicos, según se ha reflejado en un análisis de los cambios en los patrones de consumo, que muestra patrones más fuertes de bebida en dichos grupos.
Obesidad
La presencia de obesidad a largo plazo es un factor de riesgo independiente para enfermedad hepática y cirrosis en alcohólicos. Dado el problema de obesidad en el mundo desarrollado (y crecientemente en el mundo en vías de desarrollo), es factible que los daños asociados al alcohol se incrementarán en el futuro. La obesidad potencia la severidad de ALD en todas sus etapas, incluyendo hígado graso, AH y cirrosis.
Desnutrición proteínico-energética
La mayoría de los pacientes con AH están desnutridos y el riesgo de muerte está estrechamente relacionado con el grado de desnutrición. La mortalidad se incrementa en proporción directa al grado de desnutrición, acercándose al 80% en pacientes con desnutrición severa (menos del 50% de ingestión normal de macronutrimentos). Las anormalidades en micronutrimentos, tales como el agotamiento hepático de vitamina A o niveles deprimidos de vitamina E, pueden potencialmente agravar la enfermedad hepática. La alimentación parenteral o enteral mejora el estado nutricio pero no mejora la supervivencia a corto plazo, en la mayoría de los casos.
Patrones y tipo de bebida
El tipo de bebida alcohólica y el patrón de bebida también afectan el desarrollo de la enfermedad hepática. En un estudio danés, las posibilidades de adquirir enfermedad hepática fueron mayores por beber cerveza y licores que por beber vino. El beber fuera del horario de comidas incrementa el riesgo de desarrollar enfermedad hepática. El atracón de bebida, definido como la ingestión de 5 tragos o más a la vez, otro factor de riesgo para AH, se reporta en el 28% de los adultos con historia de abuso de alcohol.
Virus de la hepatitis C
El abuso de alcohol concomitante con el virus de la hepatitis C (HCV, por sus siglas en inglés) por varias razones, ocurre en aproximadamente el 14% de individuos con enfermedad hepática crónica. El alcohol y el HCV actúan sinérgicamente para incrementar la incidencia de cirrosis y HCC, la progresión más rápida de fibrosis y cirrosis y una reducción en la supervivencia, comparado con los casos en que estos factores se presentan por separado. El beber más de 50 g/día de alcohol incrementa el riesgo relativo de fibrosis hepática en los pacientes de HCV en 1.3 veces, comparado con los no bebedores infectados y está asociado con una viremia más alta. También se ha observado el peor curso clínico con una mayor mortalidad con AH en presencia de hepatitis C. Una interacción similar se ha postulado entre la infección crónica por hepatitis B y el alcohol, pero la evidencia no es del todo clara.
Factores genéticos
Existe una mayor aparición de alcoholismo en niños adoptados de padres alcohólicos y en gemelos monocigóticos, comparados con gemelos dicigóticos. Varios polimorfismos en los genes que codifican para ADH y las enzimas del citocromo p450 han sido asociados con una mayor aparición de enfermedad hepática.
Magnitud
Incidencia y prevalencia
La incidencia precisa de AH se desconoce, aunque una prevalencia aproximada del 20% se ha reportado en una cohorte de más de 1600 pacientes con alcoholismo a quienes se realizó una biopsia de hígado. La verdadera prevalencia de AH es difícil de valorar debido a que AH puede ser completamente asintomática y con frecuencia permanece sin diagnosticar. La prevalencia de AH puede ser estimada a partir de la prevalencia de alcoholismo, el cual afecta al 8% de la población general en los Estados Unidos (unos 16 millones de personas). En Italia el número estimado de alcohólicos es de 1.5 millones, con 3.5 millones de bebedores en riesgo. Aproximadamente del 10% al 35% de los alcohólicos tienen cambios consistentes con AH. Dado que se estima que hasta el 35% de los alcohólicos tienen AH, el número de pacientes de AH tan solo en Estados Unidos puede estar cercado a los 5 millones y en Italia a los 500 mil.
Carga global
El beber fuertemente y sus consecuencias tienen un impacto significativo en la salud pública. El 5% de las muertes que ocurren anualmente en Estados Unidos (unas 100 mil al año) son atribuibles directa o indirectamente al abuso de alcohol. En 1994, aproximadamente 7.4% de los estadounidenses adultos cumplían los criterios de DSM-IV para el diagnóstico de abuso de alcohol y/o dependencia del alcohol. Datos más recientes sugieren que el 4.6% cumple con el criterio para el abuso de alcohol y el 3.8% para la dependencia del alcohol.
En 1990, el alcohol constituía el 3.5% de la carga global de enfermedad, mientras que el tabaco constituía el 2.6%. En los países industrializados, entre el 5% y el 66% de toda la enfermedad hepática crónica está asociado al uso del alcohol. Los costos para la sociedad derivados del uso del alcohol son abrumadores; el costo global estimado en los Estados Unidos en 1998 fue superior a los 184 millardos de dólares, siendo los costos de salud de 26.6 millardos de dólares del total. Aproximadamente de 600 millones a 1.8 millardos se gastaron en costos asociados a hospitalización.
ALD es la segunda indicación más común para trasplante ortotópico de hígado (OLT, por sus siglas en inglés, en el que el hígado del paciente enfermo es reemplazado por el hígado del donante en la posición anatómica original) por enfermedad hepática crónica en el mundo occidental. De acuerdo a la base de datos de la Red Unida para el Compartir de Órganos (UNOS, por sus siglas en inglés), se realizaron más de 41,700 trasplantes de hígado procedentes de donadores fallecidos (trasplantes cadavéricos) entre 1992 y 2001 en los Estados Unidos, y de estos, el 12.5% fue realizado en pacientes con ALD, y el 5.8% en pacientes con ALD e infección concurrente con HCV. Esto hace a la ALD la segunda indicación más frecuente (después de la hepatitis C) para OLT. Mientras que la cirrosis alcohólica es una indicación ampliamente aceptada para OLT, existe experiencia limitada del trasplante en pacientes con AH. Dado que el consenso actual es que se requieren al menos 6 meses de abstinencia antes de la OLT, la mayoría de los pacientes con AH no califican para dicho trasplante.
Datos de mortalidad
El consumo excesivo de alcohol es la tercera causa prevenible de muerte en los Estados Unidos. Globalmente, el consumo de alcohol contribuye al 3.8% de la mortalidad. Aunque hay varias razones de muerte entre los alcohólicos, la enfermedad hepática resalta como una causa significativa. En 2003, el 44% de todas las muertes por enfermedad hepática se atribuyó al alcohol, mientras que aproximadamente del 10% al 15% de los alcohólicos estadounidenses desarrollaron ALD eventualmente. Como el alcoholismo es elevado entre personas jóvenes, aproximadamente se pierden 30 años de vida por muertes asociadas al alcohol, con una pérdida potencial de vida en los Estados Unidos de 2.3 millones de años, tan solo en el año 2001.
Tendencias de mortalidad por ALD
Las tasas de incidencia, ajustadas para edad y género, de muertes asociadas a ALD disminuyeron de 6.9/100,000 personas en 1980 a 4.4/100,000 personas en 2003. La mortalidad asociada a ALD, ajustada para edad y género (por cada 100 mil personas) disminuyó de 6.3 a 4.5 en caucásicos, de 11.6 a 4.1 en negros y de 8.0 a 3.7 en otros grupos raciales. Así, hasta 2003 la mortalidad asociada a ALD afectó a las 3 categorías raciales en forma similar. Las tasas de muertes asociadas a AH no se incrementaron en el periodo de 24 años del reporte; sin embargo, esto puede proporcionar una idea incompleta pues AH es con frecuencia mal diagnosticada por los médicos y por especialista de codificación, por lo que la carga real de muertes asociadas a AH puede estar subestimada.
Mortalidad a corto plazo por AH
En el corto plazo, la mortalidad de AH está estrechamente asociada con la severidad de la enfermedad al momento de la presentación. En general, hay una mortalidad del 15% a 30 días y del 39% en un año. La mortalidad varía con la severidad de la enfermedad con aproximadamente el 20% en las formas leves, y entre 30% y 60% en la AH severa. En un estudio británico, se observaron tasas menores al 20% en pacientes con la enfermedad leve a moderada, pero excedieron el 40% con el daño hepático severo. La supervivencia en este estudio fue más pobre entre mujeres.
Seguimiento a largo plazo de AH y progresión a cirrosis
En un estudio en una cohorte de pacientes con AH, con seguimiento por 4 años, la supervivencia fue aproximadamente del 58% en la AH sin complicaciones, pero del 35% en AH con cirrosis. La probabilidad de desarrollar cirrosis en pacientes con AH es aproximadamente el 10% al 20% por año, y aproximadamente 70% de los pacientes con AH eventualmente desarrollará cirrosis. En un estudio, aproximadamente el 40% de los pacientes con AH presentaba cirrosis en una biopsia 5 años después. El resultado depende en gran medida de la abstinencia del alcohol. En los individuos con cese completo en el consumo de alcohol, se ha descrito la recuperación completa de la función hepática y la reversión a una histología hepática normal en el 10% de los casos. En el mismo estudio, la progresión de AH a cirrosis, a pesar de la abstinencia, ocurrió en una mayor proporción en mujeres que en hombres, indicando que las mujeres están en mayor riesgo de progresión de ALD.
Es claro que AH, una causa frecuente de morbilidad y mortalidad asociadas al consumo de alcohol en pacientes con abuso crónico de alcohol, es un síndrome clínico común y distintivo. La abstinencia del alcohol es el factor dominante que determina el resultado tanto a corto plazo como en el seguimiento a largo plazo. Esta es información valiosa para compartir con los pacientes.


